Facette Dentaire
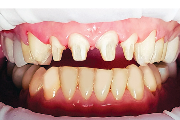
Une facette dentaire est une coquille ultra-mince, faite sur mesure, en porcelaine de la couleur des dents, qui est collée sur la surface avant d’une dent. Les facettes sont utilisées pour améliorer l’apparence des dents qui sont décolorées, ébréchées, déformées ou légèrement désalignées.

Fonction des facettes dentaires
Les facettes sont destinées à corriger l’aspect esthétique de votre sourire. Ce sont de minces coquilles en céramique qui couvrent le devant des dents, un peu comme les ongles sur les doigts. Elles permettent d’apporter une correction au niveau de la forme, taille et teinte des dents du devant mais elles sont moins résistantes que les couronnes et ne sont utilisables que dans certains cas.
Les facettes dentaires permettent de retrouver des dents parfaitement blanches. Le traitement adapté aux patients qui ont des dents jaunies par le tabac ou le café. Alors qu’un blanchiment dentaire permet généralement de gagner que 2 ou 3 teintes, les facettes dentaires permettent de retrouver un sourire hollywoodien.

Avantages des facettes dentaires.
Les facettes dentaires représentent la solution rapide et efficace pour gagner un sourire éclatant dans le cadre d’une seule visite de 5 jours si vos dents sont saines, mais imparfaites. Les facettes sont en effet très recherchées, car c’est une solution qui présente un grand nombre d’avantages :
- Solution rapide (contrairement à l’orthodontie qui dure plus d’un an souvent.)
- Solution esthétique (résultat très naturel assuré par la finesse des facettes).
- Dents vivantes (pas de dévitalisation, donc permet de préserver le capital dentaire).
- Résistance aux tâches alimentaires ce qui garantit un esthétisme au rdv à long terme.
- Démarche peu invasive (par rapport à la couronne ou la dent doit être taillée en pointe)
Assistance dédiée à Chaque étape!
N’hésitez pas à nous faire part de vos questions ? À nous demander conseil.
+212 525 900 289
Notre équipe est disponible sur WhatsApp
